Accueil
le ptit plus
Centres d'intérêt
Contact
ChampCar
Boni des Amis
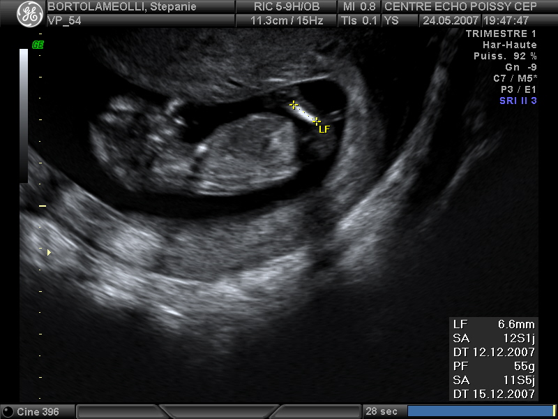
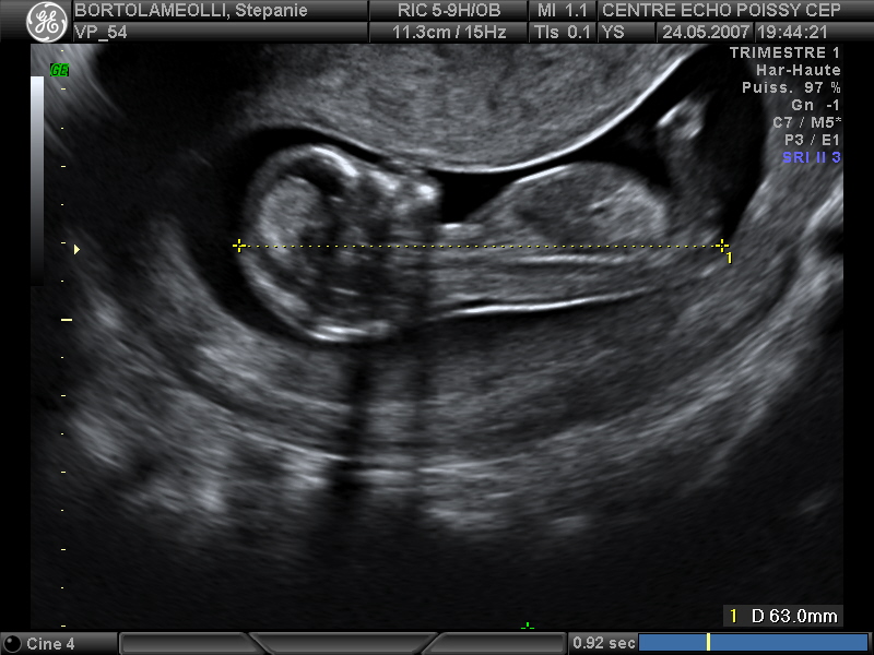
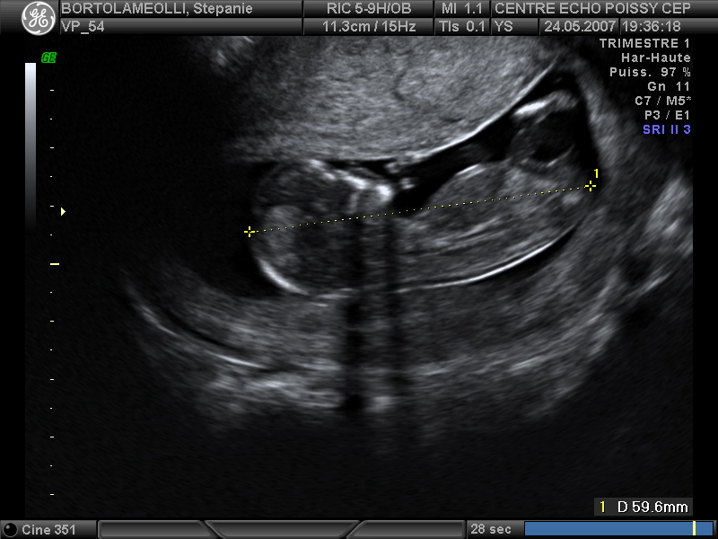
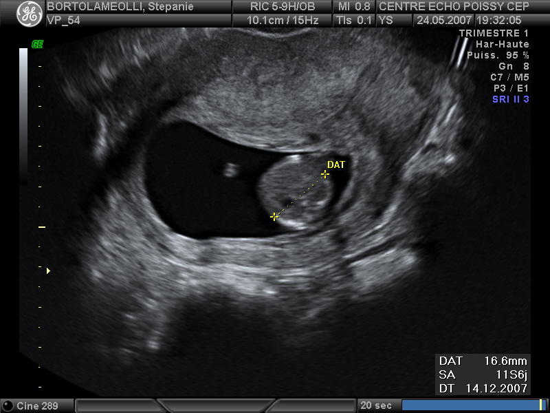
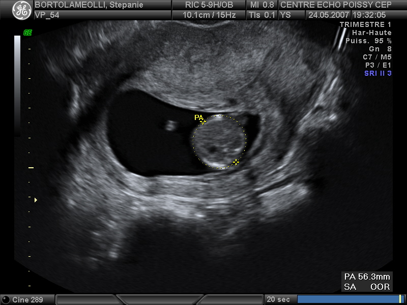
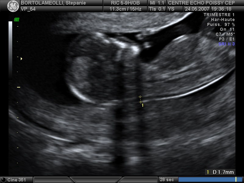
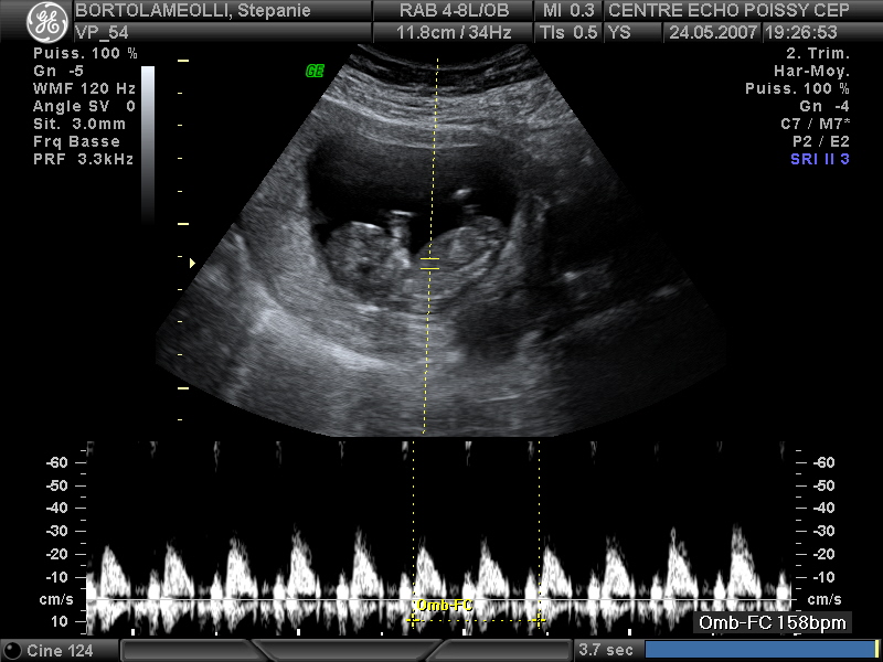
Echographies
Mai 2007
http://www.arte.tv/japon